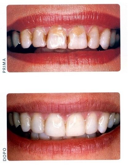
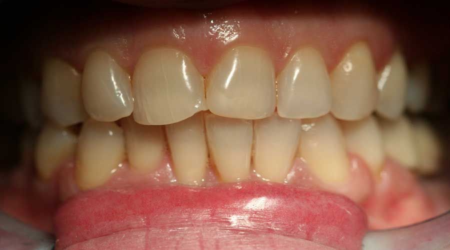
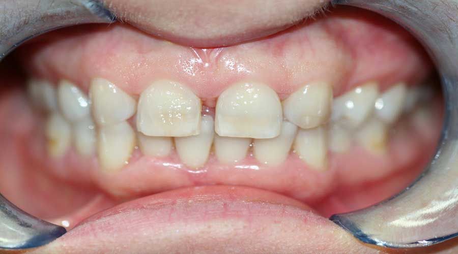
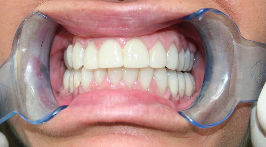
FACCETTE DENTALI LUMINEERS®
Se i denti sono troppo alterati da usure o vecchie otturazioni, possono essere utili le faccette in porcellana della Lumineers®. Si tratta di una particolare marca americana di faccette dentali, realizzate con una nuova tecnologia che permette di costruire manufatti estremamente sottili e abbastanza trasparenti da assomigliare ai denti veri. L'applicazione di queste faccette, nella maggior parte dei casi, non richiede un'anestesia o una limatura del dente.
Le faccette Lumineers® sono indicate per risolvere i problemi relativi a spazi irregolari, denti rotti o malformati, macchie permanenti e denti corti.
GUARDA I VIDEO
CONTATTACI PER FISSARE UN APPUNTAMENTO
Se desidera capire quali trattamenti siano utili per lei, non esiti a contattarci al numero 0572 476195, per fissare un appuntamento in cui analizzare a fondo le sue esigenze ed i suoi obiettivi, senza alcun impegno da parte sua.
















