COSA SI INTENDE PER IMPIANTO DENTALE?
Gli impianti dentari rappresentano la tecnica più innovativa per la sostituzione dei denti mancanti. Sono simili a viti in titanio che, con un intervento piccolo e indolore eseguito con la normale anestesia del dentista, vengono inseriti dentro l'osso e vanno a rimpiazzare le radici dei denti mancanti. Sopra queste radici artificiali possono essere applicati vari dispositivi che servono a sorreggere delle corone o capsule (denti finti in porcellana), oppure attacchi a bottone che servono a stabilizzare dentiere mobili in modo da fissarle efficacemente e stabilmente. Gli impianti rappresentano una procedura molto affidabile e duratura nel tempo che consente, nella maggior parte dei casi, di non dover toccare i denti vicini a quelli mancanti, ma di far reggere in modo autonomo i denti rimpiazzati. La procedura è quella di un piccolo intervento di chirurgia orale che, in mani esperte, non comporta assolutamente alcun dolore durante e dopo l'intervento.
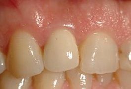
IMPIANTO IN ZIRCONIO
L'uso di impianti in "zirconio" rappresenta una soluzione molto interessante per l'estetica dei denti anteriori. Attualmente solo la parte esterna, quella visibile, viene proposta in zirconio bianco mentre la parte inserita nell'osso è sempre costituita da titanio, materiale che vanta decenni di esperienza e viene abitualmente impiegato in ortopedia. Ovviamente, durante la visita specialistica, devono essere valutati i presupposti necessari per un impianto a carico immediato, quali ad esempio l'assenza di infezione nella zona da trattare e la presenza di una buona densità ossea che consenta stabilità primaria alla "radice artificiale" ossia all'impianto. Diventa quindi fondamentale una visita da parte dell'implantologo, per discutere dei propri desideri e valutare la situazione clinica individuale.
LA VISITA IMPIANTOLOGICA: LE FASI IDEALI
Parlare con il paziente, capire i suoi desideri e valutare l'effettiva "qualità ossea"
Spesso una normale "panoramica" non è sufficiente in quanto all'immagine manca la profondità. È molto più indicata una Tac che, tramite un apposito software chiamato Dentalscan, permette di valutare lo spessore dell'osso, la sua trama e la distanza da rispettare rispetto alle strutture vitali. La possibilità di inserire degli impianti è strettamente legata alla quantità di osso residuo che va valutata per ogni singolo paziente.
INDICAZIONI, CONTROINDICAZIONI E CONSIGLI
Il carico immediato rappresenta una tecnica sicura?
Le ultime ricerche hanno dimostrato che gli impianti inseriti con la tecnica del carico immediato si osteointegrano allo stesso identico modo degli impianti caricati tradizionalmente a distanza di alcuni mesi (implantologia a carico differito).
Si prova dolore?
Solitamente no, la preparazione della zona in cui viene inserito l'impianto si esegue con una tecnica progressiva con frese delicate. Generalmente risulta meno traumatico di un'estrazione.
I diversi tipi di impianti sono equivalenti?
Un impianto è una struttura molto complessa, numerose case produttrici garantiscono anni di sperimentazione clinica (certificata dalla letteratura medica, dagli ospedali e dalle cliniche universitarie) e una ricerca accurata sul tipo di impianto che producono. Ogni caso può richiedere l'uso di una morfologia di impianto rispetto ad un'altra, quindi il preventivo varia da un caso clinico all'altro. Quando possibile è preferibile utilizzare la radice naturale del dente, anche se deve essere ricostruita. La percentuale di successo per l'implantologia si attesta intorno al 95%, questo vuol dire che su 100 impianti appena 4/5 vengono persi nei primi cinque anni e il paziente, in quel caso, deve semplicemente optare per un diverso tipo di protesi. Nei restanti casi, gli impianti possono durare tranquillamente 10-15 anni.
Cosa serve per applicare un impianto?

Un sufficiente osso residuo.
E se manca l'osso intorno agli impianti?
Una "formula" rigenera l'osso! Da un semplice prelievo di sangue arriva la soluzione a problemi ossei e gengivali. La metodica che si basa sull'estrazione di fattori di crescita consente una guarigione più rapida delle ferite e una rigenerazione dell'osso. Ovviamente parliamo di una tecnica applicabile in vari campi della medicina, ma già ampiamente utilizzata per riparare gengive, mandibola e mascella. Dalla ricerca dell'istituto spagnolo "Eduardo Anitua" nasce la tecnologia che permette, mediante la centrifugazione del sangue, la separazione di una sua piccola frazione. Quest'ultima, miscelata con sostituti ossei, serve a formare una nuova impalcatura ossea in cui inserire gli impianti dentari laddove era impossibile per mancanza di sostanza. La novità è rappresentata da un processo di guarigione molto più rapido e dalle conseguenze meno traumatiche per il paziente. Il sistema si chiama Prgf, un acronimo che sta per "Plasma rich of growth factor". Le applicazioni in odontoiatria (ma non solo) sono varie: dalla possibilità di colmare i difetti ossei conseguenti alla malattia parodontale (piorrea) fino all'integrazione della porzione di osso necessaria a inserire gli impianti sostitutivi dei denti mancanti. Ad intervento ultimato, i vantaggi per il paziente sono evidenti: meno infiammazione, ridotto rischio di complicazioni e dolore quasi del tutto azzerato grazie al rilascio di sostanze analgesiche prodotte dal nostro stesso organismo. La tecnica del Prgf è attualmente utilizzata, con ottimi risultati, nella chirurgia orale maxillofacciale, in alcune patologie ortopediche, in cardiochirurgia, nella chirurgia ricostruttiva e in quella vascolare. Ma come si interviene con questa tecnica? Prima di iniziare l'intervento, un campione di 10 cc di sangue del paziente viene centrifugato per otto minuti, il tempo necessario a separare il plasma (la componente liquida in cui sono sospese le cellule) dalle proteine, infine con la pipetta sterile si inserisce la quantità di frazione ricca in fattori di crescita nell'area di osso o di gengiva da riparare.
TECNOLOGIA PIEZOSURGERY
In molti casi, grazie alla tecnologia ad ultrasuoni, è possibile evitare l'uso del trapano per inserire gli impianti, rendendo la procedura più piacevole e sicura per il paziente. La tecnologia "piezosurgery" protegge da lesioni accidentali i nervi, i vasi sanguigni e qualunque struttura sensibile nella zona. Dire "implantologia a carico immediato" significa indicare quella tecnica che permette di inserire gli impianti dentali in titanio e di caricarli, ovvero di fissarvi sopra i denti, nella stessa seduta o comunque entro 24-48 ore dal primo intervento.


Questo studio utilizza impianti dentali di case produttrici con una notevole letteratura clinica alle spalle, certificati dalla CE e dalla FDA (Federal Drug Administration) americana, in quanto la componente intraossea deve confrontarsi continuamente con il metabolismo del corpo umano e deve avere una valenza pari a protesi d'anca, di spalla o simili.
CASE PRODUTTRICI:
- ZimmerDental Americana
(che produce anche protesi ortopediche) - Intralock USA
IMPIANTI, SPESA E CONVENZIONI
Non sempre ogni dente necessita di un proprio impianto, ad esempio nella figura accanto possiamo vedere quattro denti sostenuti da tre soli impianti.
Il preventivo di spesa varia in base alla valutazione clinica in corso di visita implantologica, sempre necessaria e senza impegno alcuno, secondo le esigenze del paziente.
Sono inoltre disponibili varie convenzioni con fondi salute e facilitazioni.
Le eventuali controindicazioni saranno valutate dal dentista durante la prima visita, ad esempio: diabete scompensato, parodontiti progressive, deficit immunitari, chemioterapia o terapia radiante recente.
Per prolungare la durata degli impianti è necessario prestare particolare attenzione all'igiene orale, togliere il tartaro ogni volta che si forma e far controllare la protesi sugli impianti ogni 6 mesi. Se possibile, evitare il fumo di sigaretta.
CONTATTACI PER FISSARE UN APPUNTAMENTO
Se desidera capire quali trattamenti siano utili per lei, non esiti a contattarci al numero 0572 476195, per fissare un appuntamento in cui analizzare a fondo le sue esigenze ed i suoi obiettivi, senza alcun impegno da parte sua.











