Vecchi ponti in oro-resina, ricostruzioni e otturazioni pigmentate, possono essere sostituiti con le nuove ceramiche su zirconio. In questo modo scompare ogni bordino metallico e ogni antiestetica usura tipica della protesi classica un po' datata.
PONTE FISSO IN CERAMICA-ZIRCONIO
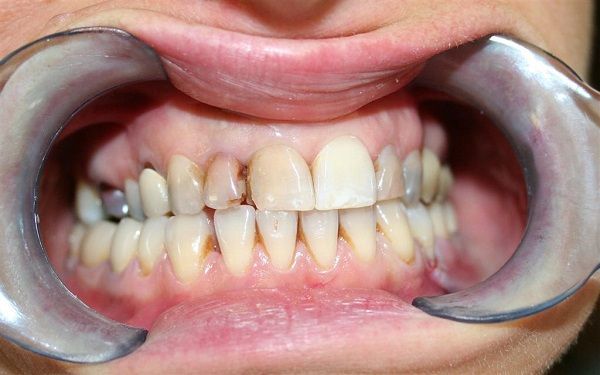
I denti sono perfettamente sani ma poco estetici a causa del colore e dei bordi distaccati dalla gengiva. Tramite ponte fisso in ceramica senza metallo, faccette Lumineers® e sbiancamento laser dei denti inferiori, il paziente riacquista il piacere di sorridere!
La ceramica, per aumentare la sua resistenza alla frattura, viene stratificata su strutture metalliche di rinforzo che possono essere leghe a base di oro, cromo, cobalto, molibdeno e simili. Sono tutti ottimi elementi, tuttavia lo zirconio rappresenta la soluzione migliore, soprattutto nelle zone a valenza estetica. Si tratta di un metallo di colore chiaro che presenta numerosi vantaggi:
- È chiaro, quasi trasparente, quindi si ottiene una naturalezza massima nell'aspetto del dente per quanto riguarda il colore e la trasparenza;
- Non è visibile alcun bordino metallico quando la gengiva si ritira;
- È leggero e resistente.
CONTATTACI PER FISSARE UN APPUNTAMENTO
Se desidera capire quali trattamenti siano utili per lei, non esiti a contattarci al numero 0572 476195, per fissare un appuntamento in cui analizzare a fondo le sue esigenze ed i suoi obiettivi, senza alcun impegno da parte sua.










