OTTURAZIONI ESTETICHE
Se desideriamo otturazioni poco visibili ed estetiche, è necessario rivolgersi a quelle bianche in composito che possono essere effettuate nella stessa seduta in cui viene tolta la carie. Il problema di questo tipo di otturazioni è rappresentato dal fatto che il materiale ha una minor capacità di sigillare i margini rispetto alle otturazioni grigie tradizionali, quindi la tecnica di otturazione è da valutare caso per caso tenendo conto di numerosi fattori (profondità della carie, vicinanza del bordo gengivale, età del paziente). Per eseguire delle valide "otturazioni bianche" esistono dei metodi indiretti, maggiormente sicuri nelle cavità di medie-grandi dimensioni. Il dentista prepara la cavità dell'otturazione e prende l'impronta della bocca; il laboratorio odontotecnico prepara l'otturazione che, in una seconda seduta, viene cementata sul dente del paziente. Questa particolare tecnica è chiamata "inlay" o "intarsio".
FACCETTE LUMINEERS®

Allo stesso modo, se il dente è sufficientemente integro nella zona del palato, si possono usare faccette in composito o ceramica (Lumineers®) per correggere colorazioni alterate, denti fratturati da un trauma e casi simili. È sempre opportuna una valutazione preventiva del caso specifico del paziente e una visita odontoiatrica per valutare l'idoneità della metodica nel caso in esame.
SOSTITUZIONE ESTETICA BIANCA DI UN'OTTURAZIONE
Spesso, a seguito dell'usura del materiale, ci troviamo nella situazione di dover sostituire una vecchia otturazione. In casi selezionati si può optare per un'otturazione bianca che ripristini l'estetica dei denti. Il dente viene quindi trattato con sostanze particolari per detergerlo e aumentare l'adesione dell'otturazione bianca. L'otturazione bianca viene eseguita, se gradito, sfumando i colori, in modo da avere una colorazione dei solchi e delle fossette simili a quella dei denti naturali adiacenti.
PROTESI FISSA ESTETICA
In casi selezionati, anche vecchi ponti o corone possono essere sostituiti con materiali alternativi estetici.
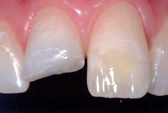
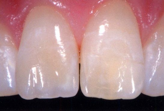
RICOSTRUZIONE INCISIVO
Anche un incisivo fratturato può essere ricostruito in maniera simile.
CONTATTACI PER FISSARE UN APPUNTAMENTO
Se desidera capire quali trattamenti siano utili per lei, non esiti a contattarci al numero 0572 476195, per fissare un appuntamento in cui analizzare a fondo le sue esigenze ed i suoi obiettivi, senza alcun impegno da parte sua.














